Интересный случай. Необычная локализация эндометриоидной кисты.
В московскую клинику «Гута Клиник» обратилась 24-летняя пациентка, с жалобами на межменструальные кровяные выделения из половых путей, у которой при обследовании обнаружили кисту матки (жидкостное образование размерами 5х4 см.) В последствии был сформулирован диагноз Эндометриоидная киста (эндометриома) матки.
Это очень редкая локализация эндометриомы. Обычно эндометриоидные кисты поражают яичники.
Анамнез.
В 2023 году на профилактическом осмотре врач выявил кисту матки (жидкостное образование 40х50 мм. с толстыми стенками). Она находилась в верхней части матки, ближе к левому маточному углу в её мышечном слое. Врачи поликлиники рекомендовали наблюдение, и ориентировали пациентку что образование самостоятельно пройдёт после родов.
У мамы и бабушки по материнской линии операций по поводу эндометриоза не было.
В московскую клинику «Гута Клиник» обратилась 24-летняя пациентка, с жалобами на межменструальные кровяные выделения из половых путей, у которой при обследовании обнаружили кисту матки (жидкостное образование размерами 5х4 см.) В последствии был сформулирован диагноз Эндометриоидная киста (эндометриома) матки.
Это очень редкая локализация эндометриомы. Обычно эндометриоидные кисты поражают яичники.
Анамнез.
В 2023 году на профилактическом осмотре врач выявил кисту матки (жидкостное образование 40х50 мм. с толстыми стенками). Она находилась в верхней части матки, ближе к левому маточному углу в её мышечном слое. Врачи поликлиники рекомендовали наблюдение, и ориентировали пациентку что образование самостоятельно пройдёт после родов.
У мамы и бабушки по материнской линии операций по поводу эндометриоза не было.
Обследование.
Общий осмотр пациентки не выявил анатомических особенностей организма.
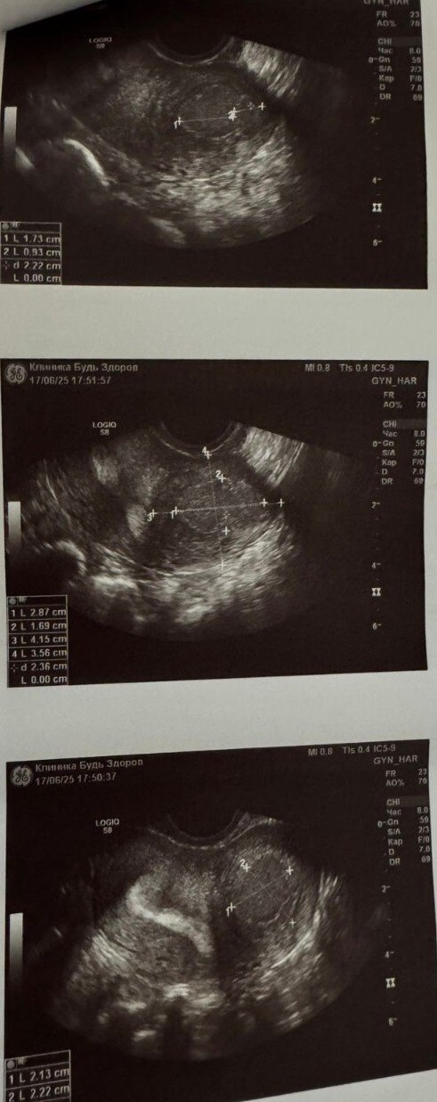
По данным УЗИ малого таза выявил кисту матки (жидкостное образование 40х50 мм. с толстыми стенками с характерным мелкодисперсным содержимым). Признаков кровотока в стенке образования не обнаружено. Так же отмечена диффузная неоднородность миометрия (признаки аденомиоза).
По данным МРТ малого таза так же определилось жидкостное образование 40х50 мм. с толстыми стенками, не накапливающее контраст. Так же отмечена диффузная неоднородность миометрия (признаки аденомиоза).
Онкомаркер СА 125 оставался в пределах нормы.
За 3 месяца до операции проводилась вакуум-аспирация содержимого матки по поводу неразвивающейся беременности 8 недель. Гистологическое исследование не выявило атипических клеток. Гастроскопия и колоноскопия не обнаружили патологии желудочно-кишечного тракта.
Показатели коагулограммы, клинического и биохимического анализов крови были в пределах нормы.
Общий осмотр пациентки не выявил анатомических особенностей организма.
По данным УЗИ малого таза выявил кисту матки (жидкостное образование 40х50 мм. с толстыми стенками с характерным мелкодисперсным содержимым). Признаков кровотока в стенке образования не обнаружено. Так же отмечена диффузная неоднородность миометрия (признаки аденомиоза).
По данным МРТ малого таза так же определилось жидкостное образование 40х50 мм. с толстыми стенками, не накапливающее контраст. Так же отмечена диффузная неоднородность миометрия (признаки аденомиоза).
Онкомаркер СА 125 оставался в пределах нормы.
За 3 месяца до операции проводилась вакуум-аспирация содержимого матки по поводу неразвивающейся беременности 8 недель. Гистологическое исследование не выявило атипических клеток. Гастроскопия и колоноскопия не обнаружили патологии желудочно-кишечного тракта.
Показатели коагулограммы, клинического и биохимического анализов крови были в пределах нормы.
Диагноз.
Эндометриома матки.
Эндометриома матки.
Лечение.
Пациентке провели стандартную лапароскопическую операцию (3 небольших прокола живота). В ходе операции выяснилось, что киста росла из миометрия до серозной оболочки матки. Кисту бережно удалили, послойно и аккуратно восстановили матку с сохранением репродуктивной функции. Удаление эндометриоидной кисты матки технически схоже с удалением эндометриоидной кисты яичника.
Гистологическое исследование позволило уточнить диагноз — эндометриома матки.
Уже вечером после операции пациентка сама ходила по отделению без помощи медперсонала. На следующие сутки пациентка выписана домой в удовлетворительном состоянии.
Через десять дней после операции УЗИ органов малого таза показало, что тело матки не увеличено, при этом швы лежали хорошо, гематом и воспалений не было, полость матки, яичники и маточные трубы были в норме. В этот же день пациентку в хорошем состоянии выписали домой. Для предотвращения рецидива заболевания пациентке рекомендован приём Диеногеста (Визанна, Зафрилла).
Заключение.
Этот клинический случай свидетельствует о коварности заболевания эндометриоз. Своевременное удаление эндометриоидной опухли позволяет остановить заболевание и повышает шансы на успешную беременность. Малоинвазивная лапароскопическая операция лапароскопии (3–4 проколов на передней брюшной стенке) позволяет малотравматично удалять опухоли и быстро восстанавливаться пациентам.
Пациентке провели стандартную лапароскопическую операцию (3 небольших прокола живота). В ходе операции выяснилось, что киста росла из миометрия до серозной оболочки матки. Кисту бережно удалили, послойно и аккуратно восстановили матку с сохранением репродуктивной функции. Удаление эндометриоидной кисты матки технически схоже с удалением эндометриоидной кисты яичника.
Гистологическое исследование позволило уточнить диагноз — эндометриома матки.
Уже вечером после операции пациентка сама ходила по отделению без помощи медперсонала. На следующие сутки пациентка выписана домой в удовлетворительном состоянии.
Через десять дней после операции УЗИ органов малого таза показало, что тело матки не увеличено, при этом швы лежали хорошо, гематом и воспалений не было, полость матки, яичники и маточные трубы были в норме. В этот же день пациентку в хорошем состоянии выписали домой. Для предотвращения рецидива заболевания пациентке рекомендован приём Диеногеста (Визанна, Зафрилла).
Заключение.
Этот клинический случай свидетельствует о коварности заболевания эндометриоз. Своевременное удаление эндометриоидной опухли позволяет остановить заболевание и повышает шансы на успешную беременность. Малоинвазивная лапароскопическая операция лапароскопии (3–4 проколов на передней брюшной стенке) позволяет малотравматично удалять опухоли и быстро восстанавливаться пациентам.